smiling braces girl

Welcome to the Smile Gallery at Wrights Road Orthodontics!

Here are just a few of the transformations achieved by our specialist orthodontists. We combine expert knowledge with the latest innovative technologies to deliver results that will keep you smiling.

Note: Each patient is unique, so individual results may vary

Smiling braces boy

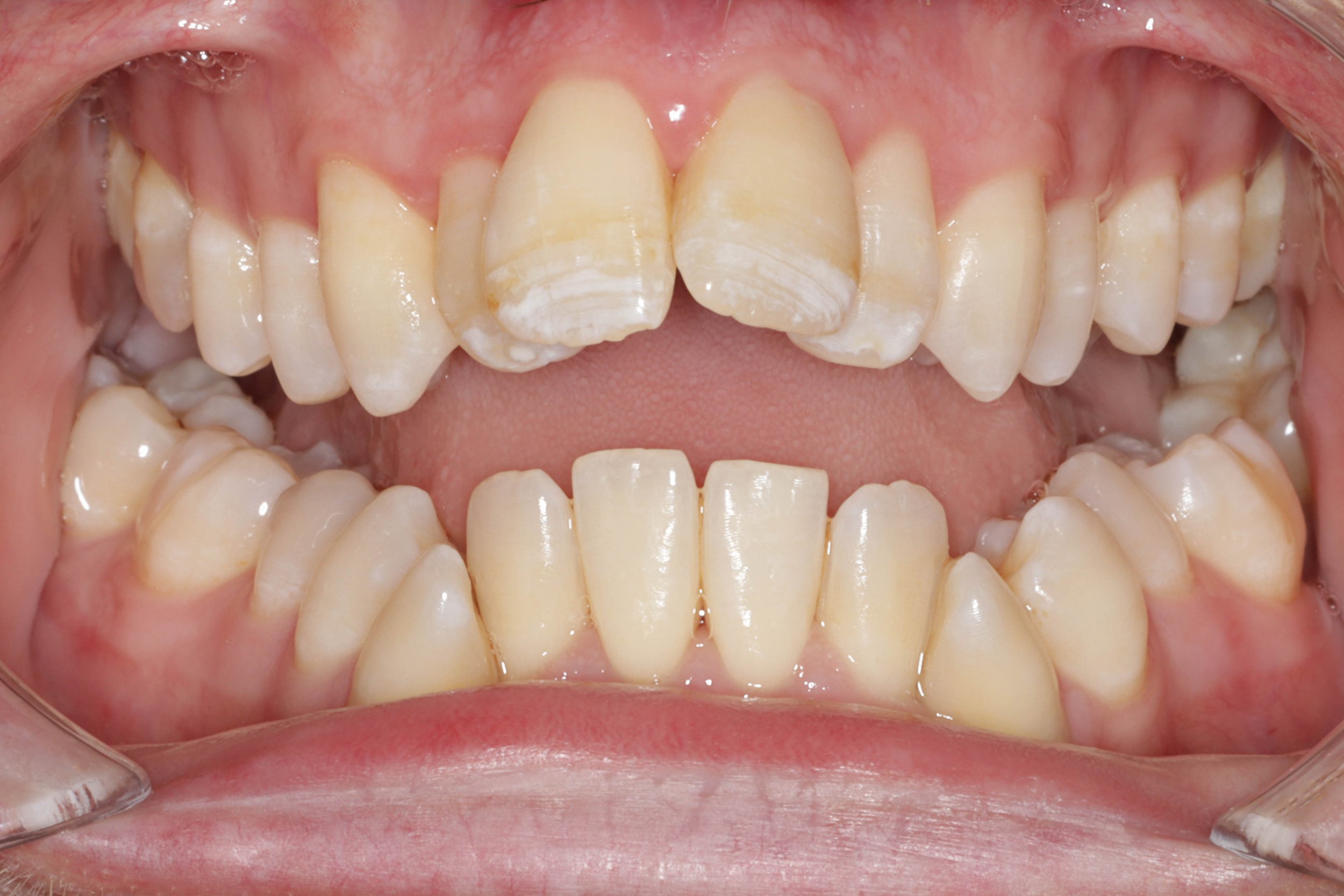
Smile Transformation #1

A 16-year-old female is concerned about her “overbite” and feels that her teeth are too far forward.

Treatment Summary
Extraction of two upper bicuspid teeth

Braces and other fixed appliances

Correction of 9mm overjet

Duration
20 months

Case 1 Overbite overjet smile  - Wrights Road Orthodontics
Case 1 Overbite overjet smile transformation - Wrights Road Orthodontics
Case 1 right buccal Wrights Road Orthodontics
Case 1 Right buccal finish Wrights Road Orthodontics
Case 1 left buccal Wrights Road Orthodontics
case 1 Left Buccal shot finished Wrights Road Orthodontics
Case 1 upper occlusal Wrights Road Orthodontics
case 1 upper occlusal finish Wrights Road Orthodontics
Case 1 lower occlusal rotations Wrights Road Orthodontics
Case 1 lower occlusal finish Wrights Road Orthodontics
case 1 smile malocclusion Wrights Road Orthodontics
case 1 smile finish Wrights Road Orthodontics

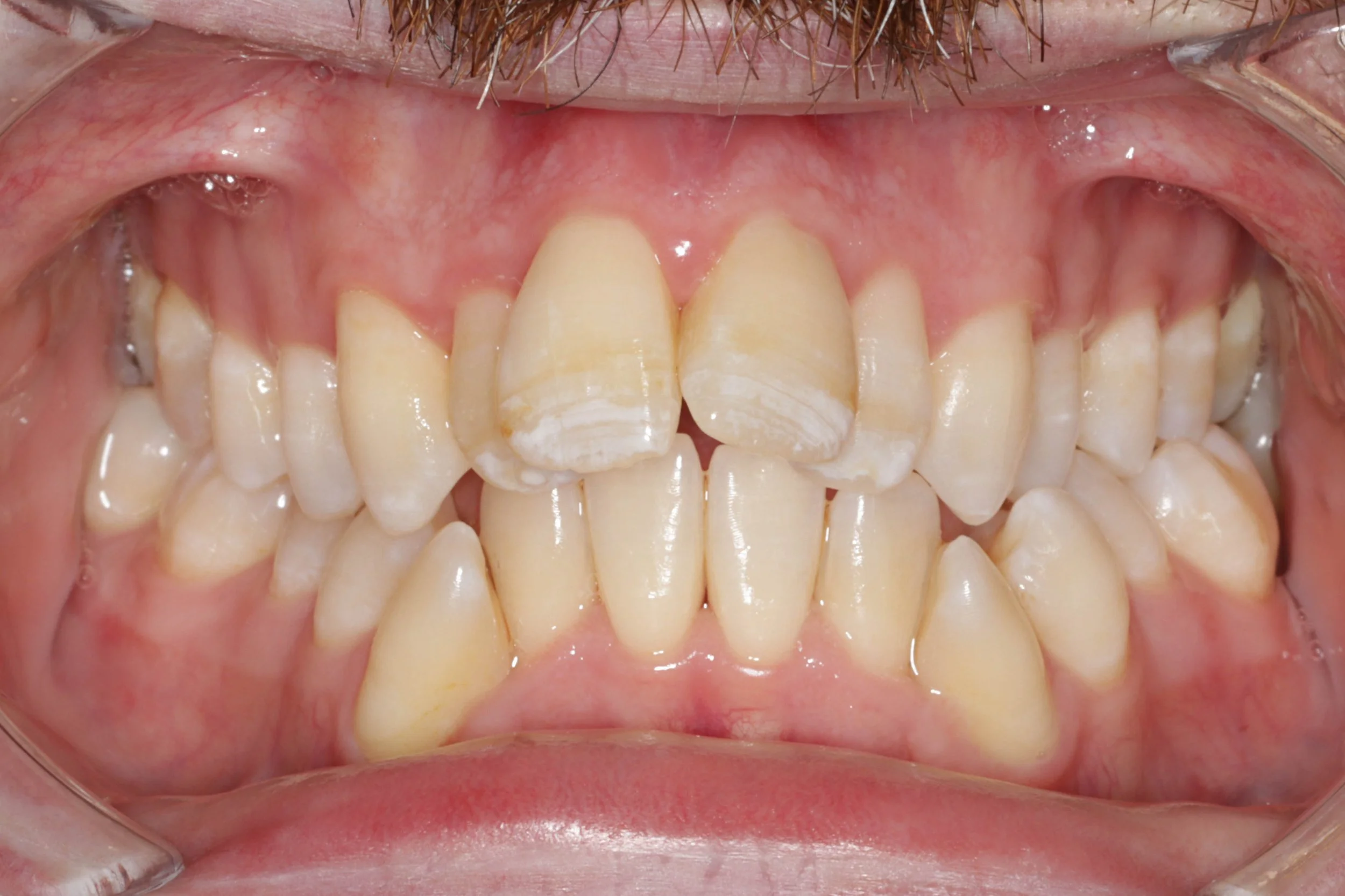
Smile Transformation #2

A 34-year-old male presents with the following concern: “My front teeth protrude and look crowded, and they are difficult to clean”.

Treatment Summary
Surgically Assisted Rapid Maxillary Expansion (SARME)

Extraction of wisdom teeth and one lower right bicuspid tooth

Braces and other fixed appliances

Closure of missing lower left back molar space

Correction of 11mm overjet

Duration
27 months

case 2 smile open Wrights Road Orthodontics
case 2 smile open finish Wrights Road Orthodontics
case 2 right buccal shot wrights road orthodontics
case 2 right buccal finish Wrights Road Orthodontics
case 2 left buccal shot wrights road orthodontics
case 2 left buccal shot wrights road orthodontics
case 2 upper occlusal shot wrights road orthodontics
case 2 upper occlusal finish wrights road orthodontics
case 2 lower occlusal shot wrights road orthodontics
case 2 lower occlusal finish wrights road orthodontics
case 2 smiling start wrights road orthodontics
case 2 smiling finish wrights road orthodontics

Discover the solutions that await you on your journey to a confident, healthy smile at Wrights Road Orthodontics.

Conditions We Treat